
血液検査では、各血球(赤血球・白血球・血小板)の数を測定(血算測定)し、かつ形態(血液像)を観察します。
当検査室では、シスメックス社【XN-2000】にて自動血球分析を行っています。
血液学的検査
■赤血球(RBC)
貧血・多血症など、赤血球造血に異常のある疾患の診断の為の検査。直径が7~8μmぐらいの中央がへこんだ円盤状です。酸素を運搬しています。
【基準値:男性(415~548×104/μl) 女性(373~516×104/μl)】
■ヘモグロビン濃度(HGB)
貧血・多血症の診断・経過観察をするための検査。
【基準値:男性(13.4~16.9g/dl) 女性(10.5~16.0g/dl)】

■ヘマトクリット(HCT%)
貧血・多血症の診断・経過観察をするための検査
【基準値:男性(40.8~51.2%) 女性(33.3~48.3%)】
■血小板数(PLT)
出血傾向や血栓症の診断のための検査。直径が2~4μmの小さな細胞です。血管が傷つくと、そこに集合して血栓を形成して出血を止めます。【基準値:11.0~35.0×104/μl】
■網状赤血球
成熟赤血球の前段階で、骨髄での赤血球の産生の指標になる。【基準値:6~22‰ 】
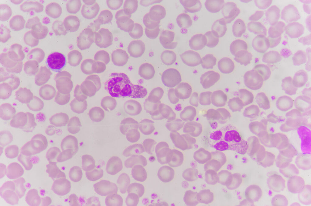
■白血球数(WBC)
炎症性疾患の診断、経過観察のための検査です。また、白血病などの血液疾患の診断に重要
【基準値:4000~8000μl】

白血球分類
■好中球
細菌を貧食・殺菌する作用があり、感染の防御に重要な役割を果たします。細菌性のカゼを引くと増え、ウィルス性のカゼの場合は減少します。
■リンパ球
免疫系の主役で、進入してきた異物を直接攻撃したり、異物を攻撃する抗体を作ります。

■単球
活発な運動能や貧食能を示し、炎症系や免疫系において重要な役割をはたします。
■好酸球
花粉症や気管支喘息などのアレルギー疾患や寄生虫症で増加します。
■好塩基球
慢性骨髄性白血病やアレルギー疾患で増加します。
■血液像(鏡検)
プレパラートに血液を適量とり、薄層塗沫し乾燥させます。その後、MG染色にて標本を作製する。鏡検では、白血球5分類だけでなく赤血球や血小板の形態異常がないか、幼若な細胞がないかなどの確認をしています。

尿一般検査
検尿定性
検尿定性はすべての患者の初診時、健康診断、定期検診受診者に対するスクリーニングテストとして日常的に行われる、簡便かつ非侵襲的であり比較的安価です。さらに極めて診断的に価値のある検査であり、その情報は腎尿路系疾患の診断・治療・その効果・経路・予後などの判定に有用です。
■蛋白定性
腎尿路系疾患に限らず全身性疾患(膠原病、多発性骨髄腫、アミロイドーシス、糖尿病、高血圧、動脈硬化など)の診断の手がかりになることがあります。
■糖定性
集団検診などにおいて、糖尿病のスクリーニング目的のため測定します。
■比重
尿比重は測定法が簡便な為、臨床の場でよく用いられます。しかし測定の誤差が大きく、また糖や蛋白造影剤が排泄されている時は、正確には濃縮度を反映しないので注意が必要です。
■ウロビリノーゲン
日内変動が大きく、個人差もあり、肉食・運動・疲労・飲酒・便秘などにより増加することがあります。
■潜血反応
潜血尿は腎臓・尿管・膀胱・尿道等の疾患や病態の存在が類推できる。
■ケトン体
飢餓反応の程度を評価したり、sick dayを始めインスリン投与量を評価し決定する一指標として検査が行われる場合もあります。
■ビリルビン
肝障害が予想されるときの簡便なスクリーニングとして用いる。

尿沈査
尿一般検査の中でも尿沈査は腎尿路系疾患の診断に欠かすことのできない検査です。尿沈査で見られる有形成分は、明らかに病的なもの、数量によっては病的なもの、生理的に正常人でも存在するものなど様々あります。簡単ではありますが有形成分の説明を下記に示します。
■赤血球
一般に腎由来の赤血球は膀胱・尿道由来よりも変形が著しく、特に糸球体由来の赤血球は形態変化の度合が強く、バラエティに富んでいるのが特徴です。
■白血球
尿中白血球の出現は尿路系の炎症を示しているが、尿路周囲の炎症、例えば虫垂炎などでも出現することがあります。
■上皮細胞
上皮細胞が尿中に出現するのは上皮細胞の剥離によるものであり、その原因としては生理的なもの、組織の炎症および変性、機械的刺激があげられます。
■円柱
円柱の中でも、硝子円柱は沈査中にみられる最も頻度の高い円柱でもあり、健康人でもときどきみられるが激しい運動後に増加することがあります。
■細菌
単染色により桿菌か球菌かを鑑別できます。
■塩類(結晶)
結晶は新鮮尿ではあまり出現せず、放置することにより、塩類が結晶となり析出してくることが多い。

★血液検査の結果から病気の発見、病状の判断をする材料を得ることができます。





